
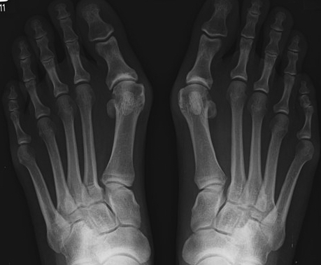
무지외반증이란 엄지발가락의 변형과 그로 인한 관절의 통증을 일컫는 질환이에요. 무지, 즉 엄지발가락이 새끼발가락 쪽으로 휘면 발 안쪽이 돌출되고 그 부위가 계속해서 신발과 닿게 되면 염증이 생기고 통증이 유발되어요.
무지외반증은 엄지발가락 뼈가 흉하게 돌출되기 때문에 미관상 좋지 않은 것은 물론이고 무지외반증 증상이 심한 경우 발가락 문제에 그치는 것이 아니라 무릎에 영향을 미칠 수도 있어요. 나아가 골반이나 허리, 척추 문제로까지 이어질 수 있고요. 따라서 무지외반증 증상이 나타났을 때는 미루지 말고 적극적으로 치료해주는 것이 중요해요.
무지외반증 증상
무지외반증 증상은 첫째, 엄지발가락이 휘고 둘째, 발 내측 부위에 통증이 있으며 셋째, 통증 부위가 붉은색을 띄고 넷째, 엄지발가락을 제외한 나머지 발가락들이 저릴 수 있으며 다섯째, 제대로 걷기 힘들다 등으로 요약해볼 수 있는데요. 아래와 같이 무지외반증 증상을 네 단계로 나누어볼 수도 있어요.
● 단계에 따른 무지외반증 증상
1단계: 엄지발가락의 변형이 시작되고 통증이 간헐적으로 찾아옴.
2단계: 엄지발가락 변형이 더 진행되고 통증을 느끼는 빈도 또한 잦아짐.
3단계: 엄지발가락 변형이 심해지고 일상생활에 불편함을 느낄 정도로 통증이 커짐.
4단계: 변형된 엄지발가락이 두 번째 발가락과 겹쳐지는 교차변형이 생기고 인접한 다른 발가락에도 통증이 생김.
무지외반증을 치료하지 않고 오래 방치하게 되면 잠을 자다가 깰 정도로 통증이 심해지며, 점차 다른 발가락에도 통증이나 저림과 같은 이상 증상이 나타날 수 있어요. 또한 무지외반증 증상이 많이 심할 경우에는 피부 궤양이 발생할 수도 있고요.


무지외반증 원인
무지외반증 원인은 선천적인 것과 후천적인 것으로 나누어볼 수 있어요. 먼저 선천적 무지외반증 원인은 가족력 즉, 유전을 들 수 있고요. 혹은 선천적으로 평발인 경우도 무지외반증에 잘 걸릴 수 있어요.
후천적인 무지외반증 원인은 불편한 신발이 대표적이에요. 하이힐과 같이 신발 코가 좁고 불편한 신발을 장시간 신으면 발가락이 계속해서 눌린 상태에 있게 되고, 여기에 더해 발이 붓게 되면 발가락이 더욱 눌리게 되는데요. 이와 같은 상황이 주요한 무지외반증 원인이 되는 것이죠.
이상 무지외반증 증상과 무지외반증 원인에 대해 알아봤고요. 이어서 무지외반증 치료는 어떻게 이루어지는지 살펴볼게요.



무지외반증 치료
무지외반증 치료에는 수술 없이 이루어지는 보존적 치료와 수술에 의한 치료가 있어요.
● 수술 외 무지외반증 치료(보존적 치료방법)
- 편한 신발 착용
- 교정기 사용
- 약물 치료
무지외반증 증상이 심하지 않고 불편함을 느낀 지 오래되지 않았다면 보존적인 무지외반증 치료만으로도 좋은 결과를 얻을 수 있어요. 본인의 발 모양에 맞는 편한 신발을 신는 것이 무엇보다 중요한데요.
굽이 낮고 볼이 넓은 신발을 신고, 폭신한 깔창을 신발 안에 깔아주면 무지외반증 증상을 완화할 수 있고요. 무지외반증 교정기를 착용해 증상 악화를 막을 수도 있어요. 돌출된 뼈가 신발과 지속적으로 닿으면서 발생한 염증을 잡기 위해서는 약물 치료가 필요하고요.


● 수술을 통한 무지외반증 치료
하지만 보존적 치료를 통해서는 뼈의 교정이 이루어지기는 힘들기 때문에 엄지발가락 변형이 이미 많이 진행된 경우라면 수술을 통해 휘어진 발 모양을 바로잡는 것이 유일한 무지외반증 치료 방법이에요. 절골술을 통해 휘어진 뼈를 교정하고 교정 부위를 핀 등으로 고정하게 되는데요.
무지외반증 수술은 무지외반증 증상 즉, 엄지발가락의 변형 정도를 가지고 단순히 시행 여부를 결정하는 것은 아니고요. 약물 치료와 더불어 교정기를 사용하고 편한 신발을 착용하는 등 보존적 치료를 시행했음에도 불구하고 통증이 사라지지 않거나 엄지발가락 변형이 계속되는 경우에 수술을 시행하게 돼요.

무지외반증 수술 (교정절골술)
무지외반증 수술은 엄지발가락이 돌출됨에 따라 타이트해진 엄지발가락 바깥쪽을 늘려주고 반대로 늘어난 엄지발가락 안쪽을 타이트하게 잡아주어 발가락의 본래 모양을 되찾아줘요. 또한 발등 뼈를 평행 이동시켜 발 폭을 줄여주고요.
보통은 피부를 6~7센티 정도 절개한 후 뼈를 눈으로 직접 확인한 상태에서 수술을 시행하며, 무지외반증 증상이 심하지 않은 경우는 수술 상처가 작고 회복이 빠른 최소절개술을 시행할 수 있어요.
무지외반증 수술이 끝난 후에는 1~2주 동안 반깁스를 하게 되고요. 양발 모두에 무지외반증 증상이 있는 경우 한쪽씩 순차적으로 수술하는 것이 권장되지만 환자가 원할 경우 같은 날 한 번에 수술을 할 수도 있어요(단, 순차적으로 수술하는 경우에 비해 회복 속도가 더딜 수 있어요). 또한 깁스를 풀고 보행을 시작하는 단계에서는 근력 회복을 돕기 위해 발가락 스트레칭을 해주는 것이 좋아요.
'슬기로운' 카테고리의 다른 글
| 물사마귀 생기는 이유 & 물사마귀 없애는 방법 (에보프림) (0) | 2021.08.04 |
|---|---|
| 역류성식도염 증상 & 역류성식도염에 좋은 음식 (0) | 2021.08.02 |
| 갑상선기능저하증 증상 원인 치료 (갑상선호르몬제) (0) | 2021.07.31 |
| 담적병 증상 & 담적병 치료방법 (0) | 2021.07.30 |
| 비문증 원인 증상 치료방법 (0) | 2021.07.29 |